Плодное яйцо на УЗИ: размеры СВД по неделям
Что такое СВД при беременности и как его определить на УЗИ? На этот вопрос существует единственный ответ.
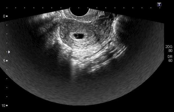
СВД — это средний внутренний диаметр плодного яйца по данным УЗ-диагностики. Измеряется данный показатель исключительно в миллиметрах.

Срок беременности характеризуется определенными значениями внутреннего диаметра. Цифровое значение СВД постоянно варьируется, поэтому срок считается с погрешностью от недели до полутора. Более достоверным признаком для уточнения срока беременности по УЗИ являются показатели КТР (копчико-теменного размера). Следует заметить, что копчико-теменной размер эмбриона менее подвергается индивидуальным колебаниям по сравнению к среднему внутреннему диаметру плодного яйца, а следовательно, используется чаще для установления достоверного срока вынашивания. Ошибка составляет примерно три дня.
Когда плод хорошо визуализируется, то срок определяется по длине плода, а не по показателю внутреннего диаметра. Копчико-теменной размер фиксируется при проведении планового УЗИ и отражает настоящий размер плода в сочетании с примерным весовым показателем плода. Как правило, измерение показателей КТР используется до 12 недель вынашивания, а на более поздних УЗ-исследованиях применяется бипариетальный диаметр окружности головы и живота плода.
Ориентировочные показатели СВД, в зависимости от сроков вынашивания
- Когда показатели диаметра плодного яйца приблизительно 4 миллиметра, то срок беременности составляет не более 5-ти недель. Возможно предположить, что со дня зачатия прошло порядка четырех недель.
- Ближе к пятой неделе диаметр достигнет 6 миллиметров.
- Спустя несколько дней плод становится 7 миллиметров.
- К концу 6-ой недели диаметр увеличивается до 12 — 18 миллиметров.
- Усредненное значение СВД на сроке шести недель и пяти дней составляет 16 миллиметров.

Безусловно, будущую маму волнует следующий вопрос: как интенсивно растет плод во втором и третьем триместре? С уверенностью можно сказать, что до 15 — 16 недель его диаметр ежедневно подрастает на один миллиметр. Затем его значение увеличивается в среднем на 2 — 2,5 миллиметра каждый день. В пограничный период 16 — 17 недель прекращают измерять внутренний диаметр плодного яйца, ориентируясь на более достоверные показатели.
Ультразвуковое исследование на малом сроке вынашивания
Проводят диагностику со следующими целями:
1. Установление точной локализации плода (в полости матки или за её пределами). При расположении плода вне матки идет речь о внематочной беременности. Когда плод не удается визуализировать или же процесс распознания значительно затрудняется, то прибегают к точному определению сердцебиения эмбриона. Признаки жизнеспособности плода могут обнаруживаться в области маточных труб или брюшной полости.
Кроме данного осложнения, на первоначальных этапах беременности могут появиться и другие осложнения: например, измененная форма плодного яйца; неправильное прикрепление; высокий риск отслойки плаценты и прочие патологические нарушения.
2. Определение одно- или многоплодной беременности не составляет особого труда. В маточной полости располагаются два или более плода с активной жизнедеятельностью.
3. Оценка основных размеров плодного яйца и эмбриона и сравнение их с показателями нормы.
4. Изучение правильности строения эмбриона и плодного яйца для исключения серьезных врожденных аномалий развития. Это могут быть хромосомные мутации (к примеру, синдром Дауна).
5. Оценка показателей жизнедеятельности проводится на основании наличия сердцебиения, которое обнаруживается уже на пятой неделе вынашивания. Двигательная активность эмбриона достаточно хорошо определяется уже после седьмой недели вынашивания.
На начальном этапе движения настолько слабы и единичны, что их едва возможно различить при проведении УЗИ. По мере роста эмбриона двигательная активность начинает напоминать характерные сгибательные и разгибательные телодвижения, а затем и активные движения верхними и нижними конечностями. Так как отдельные моменты двигательной активности довольно непродолжительны по времени и исчисляются секундами или их долями, то для регистрации факта жизнедеятельности плода используется определение сердечной деятельности.
6. Обнаружение в одном из яичников желтого тела. Это маленькое кистозное образование обеспечивает организм будущей мамы важными гормонами для сохранения плода на ранних стадиях развития.
7. Исследование амниона и хориона сводится к их соотношению в зависимости от срока вынашивания уже в первом триместре. На основании полученных результатов УЗИ можно прогнозировать дальнейшее течение и исход беременности.

8. Диагностика угрожающего выкидыша посредством УЗИ позволяет распознать ранние симптомы, которые характеризуются явным утолщением одной из стенок маточной полости, а также значительным увеличением внутреннего зева. По УЗИ при возможном выкидыше оценивают показатели жизнедеятельности плода и состояние матки и плаценты в целом.
9. Диагностика заболеваний и возможных пороков развития женской половой сферы (аномалии развития влагалища или матки). Любое отклонение от нормы определяет течение и исход беременности.
Типичные признаки и особенности имплантации плодного яйца
Зачастую плодное яйцо прикрепляется к стенке матки по истечению нескольких дней после состоявшегося незащищенного полового акта, а затем происходит внедрение яйцеклетки после оплодотворения в слой эндометрия. С данного момента в организме женщины начинает активно вырабатываться гормон ХГ (хорионический гонадотропин), на который и реагирует тест — полоска на беременность.

Не всегда проверочный тест будет положительный, поэтому необходимо прибегнуть к достоверному анализу крови на определение ХГ. После получения положительного результата тестирования необходимо в кратчайшие сроки обратиться к гинекологу в женскую консультацию для постановки на учет и дальнейшего наблюдения на протяжении девяти месяцев.
Сформированное плодное яйцо — это самый верный признак наступившей беременности. Оно имеет характерную форму овала и достаточно хорошо визуализируется на УЗИ на третьей неделе отсутствия менструации.
Сам же эмбрион возможно разглядеть, только когда срок достигнет пятой недели. Если же врач УЗИ не обнаруживает эмбрион в плодном яйце, то исследование повторяют примерно через полмесяца. Как правило, эмбрион становится более отчетливо виден, а также определяется его сердцебиение. В иных случаях речь идет о патологическом развитии или же вовсе о застывшей и неразвивающейся беременности.
Именно поэтому очень важно пройти УЗИ на предмет исключения возможных осложнений для дальнейшей корректировки ситуации. Первый триместр является самым важным периодом вынашивания, так как на всем его протяжении идет активная закладка всех органов и систем будущего малыша.
Сроки проведения плановой ультразвуковой диагностики
По результатам ВОЗ определены строгие периоды для проведения обязательных ультразвуковых исследований на протяжении срока вынашивания будущего малыша.

В иные временные промежутки поведение обследования назначается строго по индивидуальным показаниях со стороны мамы и плода:
Сроком очередного обследования нежелательно пренебрегать, так как именно в указанный период вынашивания возможно распознать пороки развития плода. И если возникнет вынужденная необходимость — прерывание по медицинским показаниям. Последнее скрининговое обследование возможно проводить и в более позднее время.
Результаты текущей диагностики могут значительно выбиваться за рамки нормальных показателей, но это далеко не является поводом для беспокойства. Не стоит забывать, что развитие каждого ребенка имеет свои характерные особенности. Однако игнорировать выявленные симптомы также не стоит.
Поделитесь с друьями!
uzimetod.com
Размер плодного яйца по неделям
Плодное яйцо представляет собой зародыш и зародышевые оболочки. Этот период беременности – первая стадия развития беременности. А начинается все с соединения двух клеток – женской и мужской.
Далее оплодотворенная яйцеклетка начинает активно делиться, вначале на 2 части, потом на 4 и так далее. Число клеток, как и размер зародыша, постоянно растет. И вся группа клеток, продолжающих делиться, передвигаются по маточной трубе к месту своей имплантации. Эта группа клеток и есть плодное яйцо.
Достигнув цели, плодное яйцо имплантируется в одну из стенок матки. Это происходит спустя неделю после оплодотворения. До этого момента плодное яйцо питается веществами, которые находятся в самой яйцеклетке. И после внедрения в матку, питание осуществляется ее набухшей слизистой, подготовленной к процессу питания и развития зародыша до момента образования плаценты.
Плацента, или детское место, образуется из внешнего слоя плодного яйца, густо покрытого ворсинками. Эти ворсинки в месте прикрепления плодного яйца уничтожают небольшой участок слизистой матки, а также стенки сосудов, заполняют его кровью и погружаются в подготовленное местечко.
Плодное яйцо – это самый первый признак нормально протекающей беременности. Его можно разглядеть на УЗИ уже после 2 недель задержки менструации. Эмбрион же становится виден лишь на 5 неделе беременности. Но если на этом сроке врач диагностирует отсутствие эмбриона в плодном яйце – иными словами пустое плодное яйцо, то УЗИ спустя пару недель повторяют.
Чаще всего в этом случае на 6-7 неделе эмбрион и сердцебиение начинают визуализироваться. Если же плодное яйцо по-прежнему пустое, это говорит о неразвивающейся беременности. Кроме этого осложнения, на ранних сроках беременности могут возникать и другие – неправильная форма плодного яйца, неправильное его расположение, отслойки и проч.
Именно поэтому важно пройти ультразвуковое исследование как можно раньше, чтобы иметь возможность изменить ситуацию, если она поддается корректированию. Ведь в первом триместре велик риск самопроизвольного выкидыша, отслойки и прочих патологий. Однако хватит о грустном.
Плодное яйцо на первых неделях беременности имеет форму овала. И на УЗИ обычно оценивается внутренний его диаметр – СВД плодного яйца. Поскольку диаметр плодного яйца является вариабельной величиной, то существует погрешность в определении срока беременности по данному фетометрическому показателю.
В среднем такая погрешность составляет 1,5 недели. Срок беременности, как правило, определяют не только по этому показателю, но также используют значения КТР плода (копчико-теменной размер) и другие показатели.
Диаметр плодного яйца по неделям
Итак, размеры плодного яйца по неделям. Если плодное яйцо имеет 4 мм в диаметре, это говорит об очень маленьком сроке – до 6 недель. Вероятнее всего, что сейчас плодное яйцо соответствует сроку 4 недели. Уже в 5 недель СВД равно 6 мм, а в 5 недель и 3 дня плодное яйцо имеет диаметр 7 мм.
На 6 неделе плодное яйцо вырастает до 11-18 мм, а средний внутренний диаметр плодного яйца в 16 мм соответствует сроку 6 недель и 5 дней. На 7 неделе беременности СВД колеблется от 19 до 26 мм. В 8 недель плодное яйцо вырастает до 27-34 мм, в 9 недель – до 35-43 мм. И по окончании 10 недели плодное яйцо имеет размер около 50 мм в диаметре.
На вопрос – как быстро растет плодное яйцо, можно с уверенностью ответить: до 15-16 недели его размер с каждым днем возрастает на 1 мм. Дальше размер плодного яйца увеличивается по 2-2,5 мм в день.

Нормы размеров плодного яйца и зародыша также можно последить по приведенной таблице.
womanadvice.ru
Мнение бойца спецназа: отечественное огнестрельное оружие. Часть 3: aleks070565 — LiveJournal
Снайперская винтовка Драгунова СВД
Плохого сказать нечего. Отличная винтовка, проверенная временем. При использовании пластмассовых накладок цевья не удалось добиться плотного прилегания к узлу цевья, что слегка коробит элегантный вид этой красавицы. Для смягчения отдачи часто используется затыльник гранатомёта ГП-25. Штатный прицел в основном удовлетворяет требованиям, предъявляемым винтовке.

7,62-мм снайперская винтовка СВД

7,62-мм снайперская винтовка СВД-С со складным прикладом
Снайперская винтовка Драгунова СВД-С
Компактный вариант СВД. Утолщённый ствол даёт более стабильные результаты. Форма рукоятки управления огнём не способствует её прочному удержанию. Винтовка при стрельбе чувствительно «лягается».
Снайперская винтовка СВУ-АС
Габариты и точность — лучше, чем у СВД. У моей СВУ-АС заводской отстрел — 2,5 см на 100 м, пуля ЛПС, 4 выстрела. При стрельбе можно стоять рядом, в отличие от СВД, Отдача несильная в сравнении с СВД. Вес — 5,5 кг, но не очень тяжёлая. Из-за того, что тяга спускового крючка — длинная, тонкая пластина, и спрятана под высокой, плохо закреплённой крышкой, при нажатии на спусковой крючок она изгибается, упирается в крышку. А потом уже передаёт усилие в УСМ. Поэтому спуск длинный и непредсказуемый. При стрельбе, особенно с сошки, мощность компенсатора такая, что сносит винтовку на несколько сантиметров в сторону, цель из вида теряется. Без оптики, с механическим прицелом — очень точная, удобная типа FG42, тем более что прицел и мушка скопированы с неё и прибавлено ограждение мушки. Странно, что нигде и никто об этом не упоминается.

7,62-мм снайперская винтовка укороченная СВУ-АС
Снайперская винтовка СВ-98
Дубина, но стреляет неплохо. В паспорте — лучшая группа из 10 выстрелов — 8,8 см на 300 м. Сборка — в лучших отечественных традициях. При сборке затвора на заводе снизу вставили штифты в отверстия, а сверху приложили направляющую планку, которая должна быть этими штифтами присоединена к затвору. При присоединении затвора к винтовке планка упала вниз и заклинила затвор. Еле разобрал её. Потом гадал, как эта планка крепится. Громоздкие магазины, явно переусложнённой конструкции. Спортивный унифицированный чехол в комплекте — длинный только для винтовки, но не вмещает винтовку с глушителем. С прицелами к этой винтовке случилась целая эпопея. Поступили они в подразделение только с ночными прицелами. Так они и стояли без дела. Потом один хороший человек подарил подразделению дорогой прицел Zeiss — Diavari 2.5-10-50T. Через год получили ППО 5-15х50.

7,62-мм снайперская винтовка СВ-98
Потом, через немалый промежуток времени, получили белорусский прицел ПОСП 4х12-42W c креплениями под планку Weaver. Хотя на винтовке стоит рельса Picatinny. Фиксирующие штифты на кронштейне прицела предотвращающие продольное смещение, не подошли к направляющей на винтовке, что было исправлено напильником. Получается, что пару лет винтовки не применялись по назначению. Из-за отсутствия прицелов. Винтовка громоздкая и по манёвренным качествам проигрывает СВД. На практике точность СВД вполне на уровне, соответствующем условиям её применения. В горной местности вес СВ-98 является ощутимой обузой.
Непроверенная временем и эксплуатацией надёжность заставляет снайпера брать на операцию СВД, СВД-С или ВСС, ВСК-94. Они — проверенные и надёжные. А СВ-98 зачастую отведена роль винтовки для соревнований.
Снайперская винтовка СВ-99
Думаю, причина её появления на вооружении следующая. Ижевску надо было что-то продавать. А тут кому-то из ответственных чинов, начитавшихся или услышавших от своего окружения о применении малокалиберных винтовок в США в качестве «собакоубивателей» и «лампочка-разрушителей», пришла в голову идея закупить такие штучки. А Ижевск — тут как тут. Винтовка-куколка, но практически пригодна только для спортивно-развлекательной стрельбы. Мощный патрон «Сурок», думаю, не выдержит, а с более слабыми патронами никого сразу не свалишь. Поскольку она стоит на вооружении как снайперская, то боеприпасы на стрельбы отпускаются по нормам, соответствующим винтовкам нормального калибра. То есть, нет разницы, из чего стрелять — из СВ-99 или из СВД и СВ-98. Так лучше стрелять из винтовок нормального калибра. Кронштейн оптического прицела не имеет стопорного штифта и после снятия прицела установить его точно на то же самое место невозможно.

5,6-мм снайперская винтовка СВ-99
Ручной пулемёт Калашникова Модернизированный РПК-203
Обладает достаточной огневой мощью на ближних дистанциях. Поставить цевьё как на «Вепре-12», сошки на планку, переднюю рукоятку, коллиматор, барабанный магазин. Если залезать глубоко, то УСМ надо сделать как на американской IAR с «передним и задним шепталом». При желании условия для применения РПК найти можно. В ближнем бою, в городе, для создания огневой завесы, если пулемёт ПК лень таскать. А вообще, нужен пулемёт под автоматные патроны, с ленточным питанием, со сменными стволами разной длины и складным прикладом. В своё время был очень хороший пулемёт РПД-44. Прообраз всех сегодняшних пулемётов под патрон, менее мощный, чем винтовочный. По сравнению с пулемётом ПК — более компактный, позволяет пулемётчику нести больше боеприпасов. Современные условия ведения боевых действий, например в населённых пунктах, и тактика специальных подразделений предоставляют такому типу пулемёта право на существование. Небольшая модернизация путём установки нового пластикового цевья большей длины, системы планок для передней рукоятки и сошки, облегчённого приклада (можно скелетной конструкции).

7,62-мм ручной пулемёт РПК-203
Жаль, из-за наличия возвратной пружины в прикладе не получится сделать его складным. Сошку поставить ближе к казённой части ствола, для облегчения переноса направления огня. И обязательно разместить планку для прицела на крышке ствольной коробки. Всё — мини-ПК готов.
Пулемёт Калашникова Модернизированный Станковый ПКМС
Мощный пулемёт. Не любит изгибания назад ленты при стрельбе — вероятна возможность задержки. Отсутствие складного приклада и полноценного цевья. А из этого пулемёта нередко стреляют с рук. В комплекте все коробки на 200 патронов. А используется, как правило, — без станка. Большие габариты, при долгой носке расшатывается рукоятка для переноски. Самый лучший способ переделки — как у американцев, типа SPW. Можно поставить дульный тормоз-компенсатор, а то при стрельбе с твёрдой поверхности подпрыгивает. И коробку для патронов — покомпактнее. Подствольные гранатомёты: ГП-25. До сих пор остаётся самым лучшим в своём классе.

7,62-мм станковый пулемёт ПКМС
Компактный и скорострельный. Немаловажное значение имеет возможность стрельбы на расстояние менее 100 м. Прицел это позволяет. Со временем разбалтывается узел соединения ствола с корпусом УСМ. На некоторых часто эксплуатируемых гранатомётах от ржавчины ослабевали фиксаторы. При выстреле они ломались, и гранатомёты слетали с автоматов. Особенности самовзводного УСМ отрицательно влияют на точность стрельбы.
ГП-30
Мой любимый гранатомёт. Удобный прицел, почти «пистолетный» спуск, ровный и относительно мягкий. Удобный предохранитель. Отсутствует установка на прицеле для стрельбы на дальность 50 м. При стрельбе на ближние дистанции, когда прижимаешься к прикладу можно схлопотать удар.

5,45-мм автомат АК-74 с гранатомётом ГП-25

5,45-мм автоматы АК-103 с гранатомётами ГП-30 и ГП-34М

5.45-мм автомат АК-103 с гранатомётом ГП-30М
ГП-30М
Почти такой же. Нет предохранителя, чем я сильно разочарован. Экстрактор, играющий роль шомпола. В походное положение не разбирается. Камера высокого давления теперь намертво прикреплена к стволу ГП-34. Спуск как на водяном пистолете. Не сравнить с ГП-30. Прицел сложнее в обращении. При установке прицела 50 м приходится прижиматься щекой к гребню приклада, а после выстрела очухиваться. Как от удара в челюсть. Затыльник в два раза толще старого и в бронежилете и разгрузочном жилете стрелять практически невозможно. И самое главное, при установке шомпол снимается, а в комплекте сборный, только класть его некуда.
Ручной Гранатомёт Специальный РГС-50М
Многофункциональное оружие, при наличии соответствующих боеприпасов. Нет антабок для крепления ремня. Приходится переносить в сумке. В ходе применения выявлены неоднократные случаи несовпадения траекторий выстрелов с установками прицела.

50-мм ручной гранатомёт специальный РГС-50М
Ручной Противопехотный Гранатомёт РГ-6
Большая плотность огня сводится на нет временем, затраченным на заряжание. Вместе с боекомплектом 20 выстрелов представляет большую нагрузку на стрелка, особенно в средствах индивидуальной бронезащиты. Тем более нормальный гранатомётчик, в здравом уме, никогда не откажется и от автомата с боекомплектом. Со сложенным плечевым упором затыльник мешает нормально обхватить рукоятку управления и открыть огонь. Хотя такие ситуации имеют место быть. Можно было бы сделать ещё одно отверстие в основании гранатомёта, чтобы выдвинуть плечевой упор сантиметров на пять. Не помешали бы и антабки с левой стороны, как на ГМ-94. С правой стороны стрелка находиться автомат. С левой — гранатомёт как дополнительное оружие.

40-мм ручной противопехотный гранатомёт РГ-6
Гранатомёт Магазинный ГМ-94
С успехом может заменить РГ-6 и РГС-50. Очень эргономичный. Полностью двухсторонний. Есть индикатор наличия выстрела в гранатомёте. Позволяет стрелять на дальность ближе 50 м. В своё время бойцы US Navy S.E.A.L. много бы отдали за ГМ-94, так как при ведении боевых действий на территории Южного Вьетнама им приходилось пользоваться тяжёлым (более 8 кг без выстрелов), неудобным гранатомётом EX-41.

43-мм ручной магазинный гранатомёт ГМ-94
Карабин Специальный 18.5 КС-К
В своё время карабин КС-23 разрабатывался как оружие, позволяющее доставить до цели снаряд большего объёма и массы, чем оружие 12-го калибра. Сейчас принимается на вооружение оружие по причине, явно противоположной той, что была основанием для перехода на оружие калибра 23 мм. Причём зачастую оружие 12-го калибра преподносится как идеальное оружие для операций на близком расстоянии. Видимо, не без оглядки на зарубежный опыт. Но там преступники обычно пользуются пистолетами, револьверами, ружьями. И применение гладкоствольного оружия для их нейтрализации вполне адекватно. К тому же городские постройки у них выполнены из менее толстого и прочного материала, чем у нас. У нас другая ситуация. Преступники вооружены, чаще всего автоматическим оружием, а двери в квартирах чаще всего железные. Гладкоствольное оружие у нас — неадекватный ответ на угрозу.

Карабин специальный 18.5 КС-К 12-го калибра
Громоздкое оружие. Габариты, даже со сложенным прикладом, не позволяют работать с ним в тесном пространстве. Конструкция оружия не позволяет установить цевьё с планками для передней рукоятки и навесного оборудования, так как в штатном цевье расположена пружина фиксатора приклада в сложенном положении. А при быстром темпе стрельбы или стрельбе со сложенным прикладом передняя рукоятка — совсем не лишняя деталь. Резиновый затыльник устроен таким образом, что зафиксировать приклад в сложенном положении удаётся после пары ударов ладонью, из-за того что резина не даёт фиксатору войти в зацепление с прикладом. При снаряжении магазина восемью патронами его невозможно зафиксировать в оружии. Для присоединения даже пустого магазина к карабину необходим опять-таки удар ладонью снизу, чтобы его зафиксировать.
В заключение могу сказать, что всё вышеописанное — не только моё личное мнение, это мнение моих сослуживцев и коллег из других подразделений. Мы работаем с оружием не только на полигоне или в тире. Очень часто приходится применять оружие по своему главному и историческому назначению. Таковы реалии нашей жизни. Может показаться, что я слишком критично отношусь к некоторым образцам. Или слишком изнежен и хочу «комфортное» оружие. Но в моей работе нет мелочей. Особенно, связанных с оружием. Любая мелочь, заминка с манипуляциями, неудобная прикладка ещё хуже — задержка при стрельбе может пагубно сказаться на целостности моего кожного покрова. И я доверяю только тому оружию, которое лично проверил на полигоне или в бою.
Источник
aleks070565.livejournal.com
Снайпер и СВД | Оружейный журнал «КАЛАШНИКОВ»
Уже после завершения в прошлом номере журнала цикла статей под общим названием «Рождение легенды», посвящённого истории создания 7,62-мм самозарядной снайперской винтовки СВД выдающимся отечественным конструктором-оружейником Е. Ф. Драгуновым, у нас появилась возможность ознакомиться с очень любопытным документом.
Представленный документ относится к периоду острого противостояния конструкций Константинова и Драгунова, а также и последнего шанса на «жизнь» для симоновского образца. Название этого документа помпезно официально — «Справка по результатам ознакомления участника Великой Отечественной войны, Героя Советского Союза снайпера Зайцева В. Г. с опытными образцами 7,62-мм самозарядных снайперских винтовок под винтовочный патрон».

Герой Советского Союза снайпер
Василий Григорьевич Зайцев
Инициатором этого события стал прославленный в годы Великой Отечественной войны военачальник, а в те годы Главнокомандующий Сухопутными войсками Советской армии, маршал Советского Союза В. И. Чуйков По его указанию и по согласованию с Государственным комитетом Совета Министров СССР по оборонной технике опытные образцы снайперских винтовок, проходившие заводские испытания в НИИ-61 (ныне ЦНИИТОЧМАШ), были доставлены 17 июня 1961 г. в Киевский военный округ для демонстрации легендарному сталинградскому снайперу В. Г. Зайцеву. Ознакомление с винтовками и пробные стрельбы были проведены в период с 18 по 20 июня. При этом присутствовали старший офицер УБП КВО подполковник Купко Г.В., от в/ч 01646 КВО (спецназ ГРУ(?)) старший лейтенант А. П. Литвинов, от ВП ГРАУ № 824 инженер-майор В. П. Михальченков, от НИИ-61 Г. Л. Серебренников и В. Т. Новиков (кроме Зайцева стреляли двое первых). Конструкторов винтовок не приглашали принципиально.
На дистанцию 100 м стреляли все трое из всех винтовок. Купко «обстрелял» обоих соперников, показавших равноценные результаты. А вот на 300 м стреляли только Зайцев и Купко с правом выбора оружия. Зайцев выбрал константиновскую винтовку, а Купко — драгуновскую, и не прогадал (см. табл.). В целом В. Г. Зайцев высоко оценил труд конструкторов, отметив высокую скорострельность, хорошую маневренность винтовок, малую отдачу и простоту разборки. В качестве недостатка драгуновской конструкции он отметил короткую рукоятку управления (её охватывают только два пальца). К винтовке Константинова (несмотря на явную к ней симпатию) претензий было больше — очень длинный и недостаточно плавный спуск, при стрельбе с оптикой требуется отклонять голову назад и даже при кратковременной стрельбе шейные мышцы беспокоят болезненными ощущениями, защёлка крышки ствольной коробки ненадёжна в эксплуатации, а отдача несколько больше, чем у других. Не без недостатков оказалась и симоновская система — коротка пистолетная рукоятка (её охватывают только два пальца), отсутствие агрегатно съёмного УСМ создаёт неудобство при чистке, сборка винтовки самая трудная из всех из-за длинной возвратной пружины, как и у константиновской системы стрельба с оптикой затруднительна. Кроме этого Зайцевым были высказаны пожелания обеспечения максимального комфорта при прицеливании и стрельбе и необходимости наличия ночного прицела для повышения эффективности действий снайпера. В общем-то сейчас это воспринимается само собой разумеющимся, но в то время было экзотикой.

Сверху вниз винтовки Драгунова, Константинова и Симонова. Именно они использовались во время сравнительного тестирования, проводившегося с участием Василия Зайцева
Примечателен тот факт, что Зайцев не стал расставлять приоритеты, видимо, отдав это на откуп более компетентным специалистам, но результаты стрельб и отмеченные недостатки говорили сами за себя. НИИ-61 (впрочем, как и полигоны ГРАУ) тоже не спешили расставлять приоритеты, но подспудно, видимо, все были уверены в лидерстве Драгунова. А иначе чем объяснить заказ «Ижмашу» ещё в мае того же 1961 г. двух ССВ-58 (будущей СВД) под штатный винтовочный патрон, и ещё двух под перспективный винтовочный 7,62×43, впоследствии получивший название 7,62-мм патрон обр. 1962 г. (с гильзой без выступающей закраины).
Так что Драгунову помимо продолжения участия в конкурсных испытаниях пришлось «в нагрузку» ещё и адаптировать свою систему под абсолютно новый патрон. Задача не из лёгких даже на сегодняшний день. Вспомним хотя бы «эпопею» с 5,56-мм АК-101, при создании которого несмотря на достаточно близкое «родство» патронов 5,45×39 и 5,56×45 пришлось сильно «поднапрячься». Евгений Фёдорович «со товарищи» решил значительно более сложную задачу в период не более полугода попутно с основной по отработке базового образца. Но это уже совсем другая история, проходившая параллельным курсом.
Несомненно, в рамках журнального стандарта воспроизвести всю историю создания СВД на основании даже уже известных документов невозможно. Очевидно другое: пытливым исследователям отечественной оружейки ещё придётся немало потрудиться на поприще поиска неизвестных документов по этой теме, прежде чем появится полная, энциклопедически выверенная история СВД книжного формата.
| Результаты стрельб | ||||
|---|---|---|---|---|
| Стрелок | Дистанция | Радиус круга, вмещающего 20 пробоин (R100), см при стрельбе из | ||
| ССВ-58 | 2Б-В-10 | СВС | ||
| В. Г. Зайцев | 100 | 12,0 | 13,0 | 12,9 |
| Г. В. Купко | 100 | 7,5 | 6,5 | 10,4 |
| А. П. Литвинов | 100 | 11,0 | 8,3 | 12,5 |
| В. Г. Зайцев | 300 | – | 29,5 | – |
| Г. В. Купко | 300 | 25,4 | – | – |
Похожие статьи
- СВД — 55 ЛЕТ В СТРОЮ
4 июля в 12.00 в Военно-историческом музее артиллерии, инженерных войск и войск связи в Санкт-Петербурге состоится открытие выставки «Снайперская…
- Базовый курс
Часть II. Стрелковая стойка Мы продолжаем публикацию материалов из книги Анатолия Кондруха «Базовый курс по практической стрельбе из пистолета». Сегодня…
www.kalashnikov.ru
Снайперская винтовка СВДСМ / СВДМ (Россия / СССР)
![]() |
СВДСМ |
Работы по модернизации снайперской винтовки СВД велись много лет. Обычно, эта модернизация ограничивается невидимыми изменениями в конструкции винтовок и в серийном производстве затрагивает лишь некоторые технологические изменения, в основном для оптимизации и удешевления изготовления и сборки. Однако силами концерна «ИжМаш», по личной инициативе, были проведены работы по кардинальной модернизации винтовки.
Несущая шина на СВДСМ,
разгружающая ствол и узел крепления для сошек
После создания в 1990-х годах снайперской винтовки СВДС конструкторами концерна «ИжМаш» в 2000-х годах были предложены опытные образцы винтовок СВДСМ и СВДМ под патрон 7.62х54 R.
Винтовка СВДСМ получила складной приклад с регулируемым затыльником от снайперской винтовки СВ-98, толстый разгруженный вывешанный ствол винтовки СВ-98, сошку СВ-98, «заглушку» дульного среза и ТГП-В также от винтовки СВ-98 и оптический прицел 1П59.
Опытный вариант пламегасителя,
устанавливаемый на СВДСМ и на часть СВ-98
Основной особенностью новой винтовки стал толстый ствол от СВ-98, длиной 650 мм и твистом 320 мм. Ствол установлен в ресивер и полностью разгружен за счет несущей шины, которая полностью закрывает ствол от ресивера до газоотводного узла и принимает на себя нагрузки от сошек или упора. Ствол изготавливается методом ротационной ковки с покрытием хромом, методом с подвижным катодом. Ствол также может быть хромирован обычным методом, что значительно дешевле и проще. Метод хромирования, а значит и уровень качества покрытия и как следствие уровень кучности выбирается конечным заказчиком.
На дульный срез ствола могут устанавливаться ТГП-В (Тактический Глушитель Пламегаитель — Винтовочный), штатный пламегаситель или «заглушка» от СВ-98.
![]() |
СВДСМ основные детали и механизмы |
Ресивер СВДСМ фактически повторяет ресивер СВД.
Сошки СВДСМ
в походном положении
Подобно винтовкам СВД и СВДС снайперская винтовка СВДСМ оснащена открытыми регулируемыми прицельными приспособлениями и специальной планкой на левой стороне ствольной коробки, служащей для установки быстросъемных кронштейнов для оптики. СВДСМ штатно комплектуется пентакратическим прицелом с переменной кратностью 3-10Х, 1П59 «Гиперон».
При стрельбе винтовка опирается на сошку заимствованную у СВ98. Также возможна установка сошек других моделей, как на несущую шину, так и на ресивер.
Складной вбок металлический приклад заимствован от снайперской винтовки СВДК (чуть удлиненный приклад от СВДС), но с установленным регулируемым затыльником от СВ-98.

Регулируемый затыльник от СВ-98,
установленый на приклад СВДМ
Снайперская винтовка СВДСМ в отличии от базовой модели, имеет чуть большую длину и увеличенный вес.
Винтовка СВДМ, выглядит аналогично СВДСМ, за исключением стандартного полиамидного приклада СВД, также оснащенного затыльником от СВ-98.
Для экспорта конструкторами «ИжМаш» был предложен вариант снайперской винтовки под патрон .308 Winchester.
Сочетание вывешанного ствола и высокоточного покрытия хромом улучшили показатели кучности, и позволило винтовкам СВДСМ и СВДМ в плотную подойти к рубежу 1МОА на всех практических дальностях стрельбы. В варианте под патрон .308 Win винтовка обладает минутной кучность и даже менее.
СВДСМ в варианте под патрон .308 Win |
weaponland.ru
7.62 мм снайперская винтовка Драгунова СВД (СВД-С)
Несмотря на неоднократные попытки создания самозарядной снайперской винтовки, вплоть до 60-х годов на вооружении Советской Армии состояла магазинная снайперская винтовка, представлявшая собой вариант 7,62-мм винтовки обр. 1891/30 г.г. системы Мосина, приспособленной для установки снайперского прицела и имевшей некоторые другие доработки, мало влиявшие на кучность боя.Вновь работы по замене ее самозарядной под винтовочный патрон 7,62х54R начались в 1958 г. Характерно, что задание на разработку было выдано конструктору целевого спортивного оружия Е.Ф. Драгунову. После сравнительных испытаний в 1963 г. на вооружение был принят образец Драгунова под обозначением СВД («снайперская винтовка Драгунова»). Конструкция СВД явилась довольно удачным компромиссом между «снайперскими» и «общими» боевыми требованиями.
Ряд черт в устройстве СВД напоминает автомат Калашникова — автоматика также действует за счет отвода пороховых газов через боковое отверстие в стенке ствола, запирание канала ствола производится поворотом затвора, причем затвор, поворачиваясь при отпирании, несколько страгивает назад гильзу, облегчая ее последующее извлечение из патронника. Похожа и форма затвора. Ударный механизм — куркового типа, с такой же формой боевой пружины. Флажковый предохранитель двойного действия: он одновременно запирает спусковой крючок и ограничивает движение затворной рамы назад, закрывая вырез ствольной коробки.
Однако имеются и весьма существенные отличия системы СВД, связанные со «снайперскими» задачами. Прежде всего, затворная рама здесь не объединена с газовым поршнем: поршень и толкатель выполнены как отдельные детали с собственной возвратной пружиной и возвращаются в переднее положение сразу же после отброса рамы назад. Таким образом движение автоматики как бы «раскладывается» на последовательные движения отдельных деталей. Возвратный механизм затворной рамы включает две пружины. Все это обеспечивает плавность работы автоматики. Встроенный в газовую камеру регулятор количества отводимых газов не сыграл большой роли и был позже исключен.
Затвор СВД имеет три симметрично расположенных боевых выступа, что делает запирание более надежным и однообразным. Качание затворной рамы в переднем положении предотвращается заклепкой отражателя. Ствольная коробка — фрезерованная. Ударно-спусковой механизм собран в отдельном корпусе. Это снижает нагрузки на него при выстреле. Оригинальной чертой является использование курка в качестве разобщителя шептала со спусковым крючком. На дульной части ствола крепится цилиндрический щелевой пламегаситель. Конструкция его оказалась весьма удачной — пять продольных щелей расположены и спрофилированы так, что он же играет роль компенсатора. Высокая эффективность пламегасителя особенно важна при стрельбе ночью с использованием ночного прицела.
Как и у большинства современных боевых образцов, ложа СВД разрезная. Винтовка имеет деревянный приклад сложной рамочной формы. Вырез в прикладе и передняя его грань образуют пистолетную рукоятку. Для удобства прицеливания на приклад крепится «щека». Затыльник приклада и «щека» не регулируются. Цевье состоит из двух симметричных ствольных накладок с прорезями для лучшего охлаждения ствола. Накладки изготовлены из дерева и имеют подпружиненное крепление на стволе, так что точка опоры цевья находится на оси канала ствола. В процессе производства дерево заменили прессованной клееной фанерой. Связь цевья СВД со стволом не способствует точности стрельбы, поскольку дополнительно нагружает ствол. В то же время СВД стала одной из первых армейских винтовок, в дизайне которых проявились «спортивные» черты.
На винтовку крепится оптический прицел ПСО-1 (1П43). Винтовка имеет также вспомогательный открытый секторный прицел и регулируемую мушку. Из-за высокого расположения приклада стрельба с открытым прицелом не столь удобна, как с оптическим. При переноске винтовки с оптическим прицелом он может укрываться чехлом.
Для стрельбы из снайперской винтовки В.М.Сабельниковым, Т.Ф.Сазоновым и В.Н.Дворяниновым был разработан 7,62-мм снайперский патрон с тяжелой пулей и более точным исполнением. Для стрельбы из СВД можно применять все типы патрона 7,62х54R.
10 патронов в шахматном порядке размещаются в сменном металлическом магазине коробчатой, секторной формы. СВД обладает хорошей кучностью стрельбы — на дальности 1000 м срединное отклонение попаданий не превышает 560 мм, что позволяет надежно поражать ростовую мишень. Однако кучность СВД уже недостаточна для решения ряда снайперских задач. Так, современные требования к снайперскому оружию предполагают отклонение попаданий не более одной угловой минуты. Для дальности 1000 м это составляет 290 мм, для 500 м — 145 мм, 100 м — 29 мм. Между тем для СВД эти цифры равны соответственно 480-560 мм, 188 мм и 36 мм.
На модели СВДН крепится ночной прицел НСПУ, НСПУМ или НСПУ-3 (1ПН75). Для рукопашного боя к винтовке может крепиться стандартный штык-нож.
Был разработан и 5,6-мм вариант СВД под патрон кольцевого воспламенения для обучения снайперов.
100.gpk.gov.by
Снайперские винтовки СВД и СВДС
Снайперская винтовка СВД, принятая на вооружение Советской армии в 1963 г., остается основным оружием российских армейских снайперов.
По мнению специалистов, она отличается удачной эргономичной конструкцией. Винтовка хорошо сбалансирована, легко удерживается при производстве выстрела. Практическая скорострельность СВД достигает 30 прицельных выстрелов в минуту.
В то же время опыт боевого применения СВД выявил и существенные недостатки этой винтовки:
- большая длина;
- демаскирующий эффект выстрела;
- сильная отдача, оставляющая синяки на плече стрелка.

Некоторые из этих недостатков устранены в модернизированном варианте — винтовке СВДС, поступающей в войска с начала 1990-х гг.
Как и прототип, винтовка СВДС является самозарядным оружием. Ее механизмы автоматики работают за счет использования энергии пороховых газов, отводимых при выстреле из канала ствола. В отличие от СВД, в данной модели газовый регулятор отсутствует.
Затвор снабжен тремя симметрично расположенными боевыми выступами, что делает запирание весьма надежным.
Ударно-спусковой механизм допускает ведение стрельбы только одиночными выстрелами.
В качестве боеприпасов применяются специальные снайперские патроны 7Н1 и 7Н14. Патрон 7Н1 имеет пулю с сердечником из мягкой стали. Пробивное действие ее по защищенным целям относительно невелико. Гораздо большим пробивным действием обладает пуля патрона 7Н14. Она имеет заостренный сердечник из инструментальной стали У12, закаленный на высокую твердость, и по сути является бронебойной пулей.
Кроме того, из винтовки можно вести стрельбу и штатными винтовочными патронами 7,62 х 54 R.
Питание патронами производится из отъемных коробчатых 10-зарядных магазинов с шахматным расположением патронов.
По сравнению с СВД, длина ствола СВДС уменьшена с 620 до 565 мм. При этом толщина стенок ствола увеличена, что повысило его прочность и поспособствовало повышению стабильности боя винтовки.
Приклад складывается на правую сторону ствольной коробки, что является более удобным для приведения приклада в боевое положение по сравнению с автоматом АК-74М,
Винтовка имеет механические прицельные приспособления. Точная стрельба ведется с использованием оптического прицела ПСО-1 (1П43), который устанавливается на кронштейне, закрепленном на левой стороне ствольной коробки.
Кучность стрельбы СВДС не соответствует современным требованиям, предусматривающим отклонение попаданий не более одной угловой минуты. Для дальности 1000 м это составляет 290 мм, для 500 м — 145 мм, для 100 м — 29 мм. Между тем для СВДС эти цифры равны соответственно 480—500 мм, 188 мм и 36 мм.
Оставить эмоциюНравится Тронуло Ха-Ха Ого Печаль Злюсь
6700warfor.me


